雷を落とさない避雷針 PDCE / 落雷抑制システムズ社
落雷を誘導しないタイプの新しい避雷針 PDCEのご紹介 落雷を発生させないという方法に挑んだ落雷抑制システムズ社のPDCE。このPDCEと雷電流対策を組み合わせることにより、落雷に対し安全で安心な場を ...
【曼迪】官方預告片 - part.1《最終章-火影忍者劇場版》1/16 為愛展開
最新電影【曼迪】官方預告片- part.1 《最終章-火影忍者劇場版》1/16 為愛展開© 2002 MASASHI KISHIMOTO/2007 SHIPPUDEN © NMP 2014 © K S/S・T・P © GNS2014.
【天使】故郷の金沢弁を話す能登麻美子が可愛すぎるwww 「わからんげんて!」
アニメ「天元突破グレンラガン」「FAIRY TAIL」「ブレイブルー」などでお馴染みの声優、柿原徹也さんと「君に届け」「銀魂」「地獄少女」でお馴染みの能登麻美子さんのトークです。 方言っていいなあ(*´ω`*) 出演:柿原徹也、 ...
in 東京ビッグサイト 皆瀬まりか/佐藤雅美 第1部 edge project 【公式】
2014年7月9•10•11日に東京ビッグサイトで開催されました 「第1回ライブ&イベント産業展」(株)ジェイフォースブースにて おこなわれたイベント「水玉タレントプロモーション」その公開収録のもようをお送りいたします!
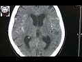
クモ膜下出血の画像診断(脳底動脈瘤破裂)【画像診断チャンネル】
脳底動脈瘤破裂に伴うSAH、血腫の部位から破裂部位を推測しよう。 →http://wp.me/p3Jsrl-3xA ▷救急画像診断を中心に、CT,MRI画像診断、画像の読み方を解説しています。 http://xn--o1qq22cjlllou16giuj.jp/





